
Your journey begins with a consultation where we assess your alignment needs. Using advanced 3D imaging, we create a personalized treatment plan. The aligners are custom-made and changed every few weeks to gently shift your teeth into place. The process is convenient, allowing you to remove the aligners for eating, brushing, and flossing.










EXCELLENT Based on 79 reviews Alexander Rubi2025-06-17Trustindex verifies that the original source of the review is Google. Buen servicio 👍 Christine Bonner2025-06-06Trustindex verifies that the original source of the review is Google. Very quick and painless. Best part is full transparency about price. David Chuke2025-06-05Trustindex verifies that the original source of the review is Google. Fantastic staff!! The staff members and hygienists are personable and patient. . Excellent Doctor. I was very skeptical because I have had very bad experiences but Doctor Kashmoula is a very respectful, talented and considerate professional. I plan to continue going and having them improve my entire dental profile. Regards, David thomas evers2025-05-13Trustindex verifies that the original source of the review is Google. I wish I would have found them sooner. Great dentist and great staff argentumarum2025-05-08Trustindex verifies that the original source of the review is Google. I love Dr. Kashmoula! He personally cleaned my teeth and they haven't looked this good since I got out the marines 40 years ago! He's working on restoring my smile. He filed down all my front teeth and I didn't feel a thing. I have a fear of dentists but Dr. Kashmoula makes me feel very relaxed. I highly recommend this dentist! Barry Servpro2025-04-25Trustindex verifies that the original source of the review is Google. Honestly, I have yet to have the dentist to work on my teeth. However, because of previous experiences, I am absolutely petrified of a dentist to the point where I have to try to hold back tears when I get in the chair. Laura could not have been nicer and more gentle in helping me through this. Well, I didn’t particularly enjoy with the doctor had to say, he said it very professionally and again trying his best to comfort me. This dental coward has found his dentist Myra Johnson2025-02-28Trustindex verifies that the original source of the review is Google. Had my teeth cleaning session. I was very pleased with my consultation and service. Ana Torres2024-07-02Trustindex verifies that the original source of the review is Google. Staff and Dentist were all very friendly and knowledgeable. Office very clean and modern.
Keep your smile healthy with regular check-ups, cleanings, and personalized preventive strategies tailored to your needs.
Enhance your smile with our range of cosmetic treatments, including teeth whitening, veneers, and smile makeovers.
Repair and restore your teeth with our restorative services, such as fillings, crowns, bridges, and dental implants.
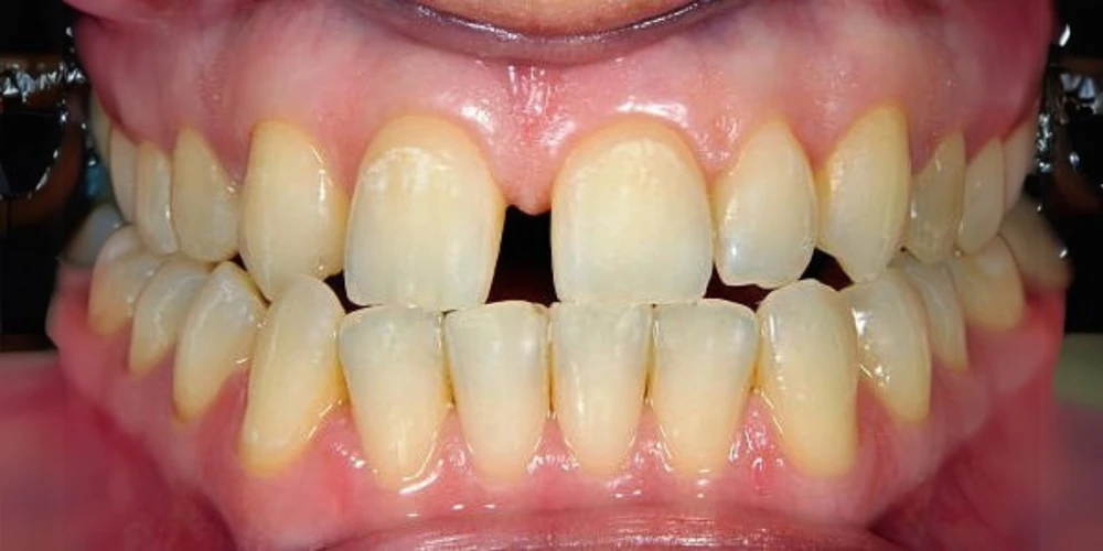
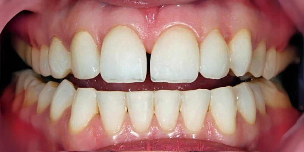
Achieve a straighter smile and improved bite alignment with traditional braces or clear aligner therapy.
From extractions to dental implants, our oral surgery services are performed with precision and care to restore your oral health.
Maintain healthy gums with our periodontal services, including deep cleanings and gum disease treatments.
Get prompt care for dental emergencies, including toothaches, broken teeth, and other urgent dental needs.