










EXCELLENT Based on 79 reviews Alexander Rubi2025-06-17Trustindex verifies that the original source of the review is Google. Buen servicio 👍 Christine Bonner2025-06-06Trustindex verifies that the original source of the review is Google. Very quick and painless. Best part is full transparency about price. David Chuke2025-06-05Trustindex verifies that the original source of the review is Google. Fantastic staff!! The staff members and hygienists are personable and patient. . Excellent Doctor. I was very skeptical because I have had very bad experiences but Doctor Kashmoula is a very respectful, talented and considerate professional. I plan to continue going and having them improve my entire dental profile. Regards, David thomas evers2025-05-13Trustindex verifies that the original source of the review is Google. I wish I would have found them sooner. Great dentist and great staff argentumarum2025-05-08Trustindex verifies that the original source of the review is Google. I love Dr. Kashmoula! He personally cleaned my teeth and they haven't looked this good since I got out the marines 40 years ago! He's working on restoring my smile. He filed down all my front teeth and I didn't feel a thing. I have a fear of dentists but Dr. Kashmoula makes me feel very relaxed. I highly recommend this dentist! Barry Servpro2025-04-25Trustindex verifies that the original source of the review is Google. Honestly, I have yet to have the dentist to work on my teeth. However, because of previous experiences, I am absolutely petrified of a dentist to the point where I have to try to hold back tears when I get in the chair. Laura could not have been nicer and more gentle in helping me through this. Well, I didn’t particularly enjoy with the doctor had to say, he said it very professionally and again trying his best to comfort me. This dental coward has found his dentist Myra Johnson2025-02-28Trustindex verifies that the original source of the review is Google. Had my teeth cleaning session. I was very pleased with my consultation and service. Ana Torres2024-07-02Trustindex verifies that the original source of the review is Google. Staff and Dentist were all very friendly and knowledgeable. Office very clean and modern.
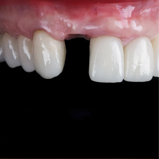
It’s a replacement process for the root portion of a missing natural tooth. Dental implants can be placed in either the upper or lower jaws.
With proper care, dental implants can last for decades, and in some cases, a lifetime. Regular dental checkups and cleanings, along with good oral hygiene habits, can help ensure the longevity of your dental implants.
Dental bridges are artificial teeth that fill the gap of one or more missing teeth. They are anchored to the remaining natural teeth or dental implants on either side of the gap.
Dental bridges can last for 5-15 years or longer with good oral hygiene. However, the lifespan of a dental bridge depends on several factors, including the materials used, the location of the bridge, and the patient’s oral hygiene habits.